هل بدأتِ للتو رحلة الأمومة ولكن بإحساس مضاعف؟
في هذا الشهر الأول الحاسم، حيث يتشكل أساس الحمل، قد تحمل بعض الأعراض المبكرة إشارات خفية تخبرك بأنكِ لستِ وحدكِ... بل معكِ توأم!
وإذا كنتِ تتساءلين عن تلك الموجات المتزايدة من الغثيان، أو ذلك الإرهاق الذي لا يقاوم، أو ربما شعور غريزي عميق، فاعلمي أن جسمكِ قد يرسل لكِ تلميحات مشوقة، وبينما تظل الموجات فوق الصوتية هي الحكم النهائي، فإن فهم علامات الحمل بتوأم ذكور في الشهر الأول يمكن أن يحوّل القلق إلى ترقّب مثير.
تابعي القراءة لتعرفي كيف يمكن أن تكون المستويات المرتفعة للهرمونات، والإجهاد غير المعتاد، وغيرها من المؤشرات المبكرة، هي مفاتيحك لفك شفرة لغز " الحمل بتوأم " الذي ينتظرك! وهل يمكن لـ سونار توأم في الشهر الأول أن يخبرك بالحقيقة !
هل يوجد ما يُعرف بـ "الحمل المضاعف"؟
عندما تبدأين في الشعور بأعراض الحمل، قد تتساءلين عمّا إذا كانت قوة هذه الأعراض تحمل دلالة ما - عن علامات الحمل بتوأم ذكور في الشهر الأول ؟ هل من الطبيعي أن تشعري بهذا القدر من الإرهاق والغثيان، أم أن ذلك قد يعني أمراً إضافياً؟
والحقيقة أنه بمجرد أن يبدأ الحمل، يبدأ جسمك في إنتاج الهرمونات ويخضع لتغيرات جسدية، قد تكون هذه التغيرات هي العلامة الأولى للحمل، والأكثر من ذلك قد تكون بعض هذه العلامات مختلفة قليلاً عندما تتوقعين أكثر من طفل واحد.
وكثير من النساء اللاتي خضن تجربة الحمل بتوأم أفادوا بأنه كان لديهم إحساس أو شعور بأنهم يتوقعون ولادة متعددة، حتى قبل أن يتأكدوا من ذلك، لكن في المقابل، بالنسبة للكثيرات تأتي الأخبار كمفاجأة تامة.
وإليكِ بعض الإشارات التي قد تخبر عن علامات الحمل بتوأم ذكور في الشهر الأول والأشهر الأولى اللاحقة:
تعاني بعض النساء من غثيان الصباح ، حيث يمكن أن يبدأ في وقت مبكر يصل إلى الأسبوع الرابع من الحمل، وهو تقريباً وقت غياب الدورة الشهرية.
قد تساهم الزيادة في هرمون الحمل hCG في الشعور بالغثيان في أي وقت من اليوم.. (غثيان الصباح لا يحدث فقط في الصباح).
أفادت بعض النساء الحوامل بأكثر من طفل بتجربة مستويات مرتفعة من غثيان الصباح، أو غثيان يستمر لفترة أطول في حملهن، ومن علامات الحمل بتوأم ذكور في الشهر الأول والتي تستمر طويلا، أن الشعور بالغثيان والقيء يستمر إلى ما بعد الأسبوع الرابع عشر من الحمل.
لكن لسوء الحظ، يمكن أن يكون غثيان الصباح الشديد أو المطوّل مؤشراً على القيء المفرط الحملي ( hyperemesis gravidarum )؛ لذا إذا كنتِ تتقيئين عدة مرات في اليوم، أو تعانين من الغثيان طوال اليوم، أو تفقدين الوزن، فمن الجيد التحدث مع الطبيب.
يُعدّ الإرهاق أيضاً من علامات الحمل المبكرة جداً، ففي الأسابيع الأولى، وأحياناً حتى قبل غياب الدورة الشهرية في الأسبوع الرابع، قد تبدئين في الشعور بالإجهاد، حيث قد تؤدي المستويات المرتفعة من الهرمونات، إلى جانب المشاكل المحتملة مثل اضطرابات النوم وزيادة التبول، إلى تعطيل قدرتك على الحصول على قسطك المعتاد من الراحة.
مرة أخرى، لا توجد طريقة للتأكد مما إذا كان الإرهاق من علامات الحمل بتوأم ذكور في الشهر الأول ، لكن إذا كنتِ تشعرين بتعب إضافي، فافعلي ما بوسعك للحصول على قسط كافٍ من الراحة، بما في ذلك تقديم موعد نومك، وأخذ قيلولات عند الإمكان، وتهيئة بيئة نوم مريحة.
هرمون الحمل (hCG) هو هرمون ينتجه الجسم أثناء الحمل، حيث تكشف اختبارات الحمل المنزلية عن هذا الهرمون في البول لتعطيك نتيجة إيجابية للاختبار، وبينما لا يمكن لاختبارات الحمل المنزلية أن تخبرك بالمستوى المحدد لهرمون hCG في جسمك، يمكن أن تفعل ذلك اختبارات الدم.
وإذا كنتِ تخضعين لعلاجات خصوبة معينة، فقد يتم سحب دمك للتحقق من أرقام هرمون hCG ، حيث سيقوم الطبيب بوضع خط أساس، ثم يراقب ليرى ما إذا كانت الأرقام تتضاعف كما هو متوقع.
وقد أظهرت دراسة موثوقة أجريت عام 2018 أن من علامات الحمل بتوأم ذكور في الشهر الأول ، عدد أعلى من المتوقع لهرمون hCG.
قد يُسمع نبضات قلب طفلك في وقت مبكر يصل إلى 8 إلى 10 أسابيع باستخدام جهاز دوبلر الجنيني؛ لذا إذا اعتقد طبيب النساء والتوليد أنه يسمع نبضات قلب ثانية، فمن المرجح أن يقترح تحديد موعد لإجراء موجات فوق صوتية للحصول على صورة أوضح لما يحدث.
بما أن معظم الأمهات لا يفيدون بالشعور بحركة الجنين حتى حوالي 18 أسبوعاً، فإن هذه ليست من علامات الحمل بتوأم ذكور في الشهر الأول ، رغم أنه بالتأكيد، وجود طفلين أو أكثر يمكن أن يعني أنك ستشعرين بالحركة في وقت أبكر قليلاً مما كنتِ ستشعرين به مع طفل واحد فقط، ولكن من غير المرجح جداً أن يحدث هذا قبل الثلث الثاني من الحمل.
على الرغم من أن العوامل المذكورة أعلاه قد تكون علامات الحمل بتوأم ذكور في الشهر الأول وما يليه، فإن الطريقة الوحيدة الأكيدة لمعرفة ما إذا كنتِ حاملاً بأكثر من طفل واحد هي من خلال الموجات فوق الصوتية.
يحدد بعض الأطباء موعداً لإجراء موجات فوق صوتية مبكرة، حوالي 6 إلى 10 أسابيع، لتأكيد الحمل أو التحقق من وجود مشكلات، وإذا لم يكن لديكِ موجات فوق صوتية مبكرة، فاعلمي أنه سيتم تحديد موعد لكِ لإجراء مسح تشريحي للجنين ( Anatomy Scan ) حوالي 18 إلى 22 أسبوعاً.
بمجرد أن يتمكن طبيبك من رؤية صور السونار، ستعرفين بالضبط عدد الأطفال الذين تحملينهم.

في الحقيقة لا يجرى سونار توأم في الشهر الأول ، ولكن الأسبوع السادس (بعد 4 أسابيع من الإخصاب)
حجم الجنينين: يتراوح طول كلٍّ منهما بين 4 إلى 6 مليمترات تقريباً (أي بحجم حبة العدس أو البازلاء الصغيرة).
محطات تطور الجنينين: في هذا الأسبوع، يستطيع اختصاصي السونار اكتشاف نشاط القلب الجنيني، أصبح هناك كيسان سلويان منفصلان، وبدأت رؤوس التوأمين وأرجلهما والحبال السرّية بالتكوّن.
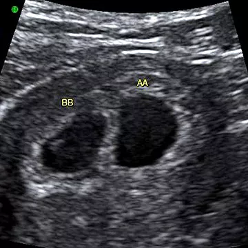
ورغم أن الأمر قد لا يبدو واضحًا كثيرًا، فإن هذه الدوائر تُظهر وجود كيسين حمليين منفصلين،وهذا يعني توأمًا!
أما في الحمل الواحد، يظهر كيس واحد فقط على الشاشة.
هنا، حدّد اختصاصي السونار (فني الموجات فوق الصوتية) كل جنين، أحدهما معلَّم بـ AA والآخر بـ BB.
يحصل معظم الأشخاص على عدة فحوصات سونار خلال الحمل بتوأم للتأكد من أن كلا الطفلين ينموان بشكل سليم وأن الحمل يتقدّم بصورة طبيعية، لكن لا يمكن اجراء سونار توأم في الشهر الأول تحديدًا !
عندما تعيشين تجربة الحمل بتوأم، يصبح الاهتمام بصحتك أولوية قصوى.
نعم… الحمل نعمة كبيرة، لكنّه يحتاج منكِ وعيًا إضافيًا وحرصًا مضاعفًا—خصوصًا إذا كنتِ تبحثين منذ البداية عن سونار توأم في الشهر الأول ، و علامات الحمل بتوأم ذكور في الشهر الأول وتتساءلين إن كنتِ بحاجة لعناية مختلفة.
إليكِ أهم الأمور التي يجب أن تتجنّبيها خلال هذه الفترة الحساسة..
جسمك يعمل ليلًا ونهارًا ليغذّي طفلين، لذلك لا مجال لتفويت الفيتامينات الأساسية، وقد تحتاجين جرعة أكبر من حمض الفوليك، إضافة إلى ماء أكثر وطعام مغذٍ يعوّض احتياجات الحمل المتعدد.
قد تكونين محبة للحركة والنشاط، لكن الحمل ليس الوقت المناسب للقيام بمجهود بدني شاق، أو حمل الأوزان الثقيلة، أو ممارسة الرياضات العنيفة التي تتطلب قفزاً أو حركات فجائية.
تذكّري: أي خطر عليكِ هو خطر مباشر على طفليكِ.
ملاحظة مهمة: جسمك سيكون أقل توازنًا وأكثر إرهاقًا… خذي هذا في الحسبان دائمًا.
أنتِ لا "تأكلين لشخصين" فقط، بل لثلاثة أحيانًا!
جسمك يحتاج سعرات حرارية إضافية لكل طفل—حوالي 300 سعرة حرارية يوميًا لكل جنين.
فاختاري طعامًا ممتلئًا بالعناصر الغذائية، وابتعدي تمامًا عن الحميات القاسية.
عند اشتداد الغثيان
غثيان الصباح قد يكون أقوى في الحمل بتوأم، ما يؤثر على شهيتك، لكن لا تقلقي فغالبًا يخف مع نهاية الثلث الأول، لكن إن شعرتِ بأنك لا تحصلين على غذاء كافٍ، تحدثي للطبيب فورًا.
قلة الماء قد تسبب انقباضات مبكرة، وهو أمر حساس جدًا في الحمل المتعدد.
لذا اشربي بين 8–12 كوب ماء يوميًا، وتناولي الفواكه والخضروات المرطبة، ولا تنتظري الشعور بالعطش.
بعض التمارين مثل الجري والحركة المجهدة قد تزيد الضغط على عضلات الحوض.
استشيري طبيبك لمعرفة التمارين المناسبة، ودعي النشاطات المرهقة لما بعد الولادة.
تجنبي التدخين بكافة أشكاله، واحذري من التواجد في الأماكن التي يكثر فيها التدخين (التدخين السلبي)؛ فالمواد السامة تؤثر مباشرة على نمو التوأم وتزيد من خطر الولادة المبكرة.
الماء شديد السخونة أو الساونا قد يرفع درجة حرارة جسمك لحدّ خطير، مما يزيد احتمال حدوث تشوّهات خلقية.
الحمام الدافئ العادي؟ نعم.
الحار جدًا؟ لا.
فضلات القطط قد تنقل داء المقوسات، وهو مرض خطير على الأجنة.
دلّلي قطتك كما تحبين، لكن ابتعدي عن الصندوق تمامًا.
التعب مضاعف في الحمل بتوأم، فإذا طلب منكِ الطبيب تقليل الحركة أو الراحة في الفراش، فالتزمي بذلك.
جسمك يعمل بجهد خارق… أعطيه حقه.
الحمل بتوأم يحمل احتمالًا أعلى للولادة المبكرة؛ لذا اتصلي بطبيبك فورًا إذا شعرتِ بـ:
لا تنتظري… فالتدخل المبكر ينقذ الموقف.
بينما يُعدّ الحمل بتوأم أو أكثر أمراً مثيراً، تبحثين عنه من اللحظة الأولى في سونار توأم في الشهر الأول ، إلا أنه يأتي مع بعض المخاطر؛ لذا فالتركيز على صحتك وطلب رعاية ما قبل الولادة أمر مهم بشكل خاص أثناء الحمل بتوأم.
لا يمكن لأعراض الحمل المبكرة أن تخبركِ على وجه اليقين ما إذا كنتِ حاملاً بطفلين أو أكثر، ولكن المواعيد المنتظمة واختبارات ما قبل الولادة يمكن أن تفعل ذلك؛ لذا ناقشي دائماً مخاوفك مع الطبيب ، واعتني بنفسك جيداً - بغض النظر عن عدد الأطفال الذين تحملينهم.
حقنة الرئة للحامل : لا تأخذيها إلا في هذه الحالة
متى يجب أن تؤخذ حقنة الرئة للحامل ؟ وهل الجميع يجب أن يأخذنها ؟ فهل تؤخذ حقنة الرئة للحامل في الشهر الثامن ؟ أم تؤخذ حقنة الرئة للحامل في الشهر التاسع
هل تؤثر نفسية الحامل على وزن الطفل عند الولاده
هل تؤثر نفسية الحامل على وزن الطفل عند الولاده ؟ تعرفي على العلاقة بين الحالة النفسية للأم ونمو الجنين، وكيف يمكن للتوتر أو الاكتئاب أن يؤثرا
علامات الحمل بتوأم: كيف تكتشفينها منذ الأسابيع الأولى
هل ينتابك غثيان شديد في كل مرة ترين أو تشمين فيها الطعام؟ قد تكون هذه مجرد ردة فعل جسدك على الحمل، وقد تكون أيضًا إحدى علامات الحمل بتوأم !